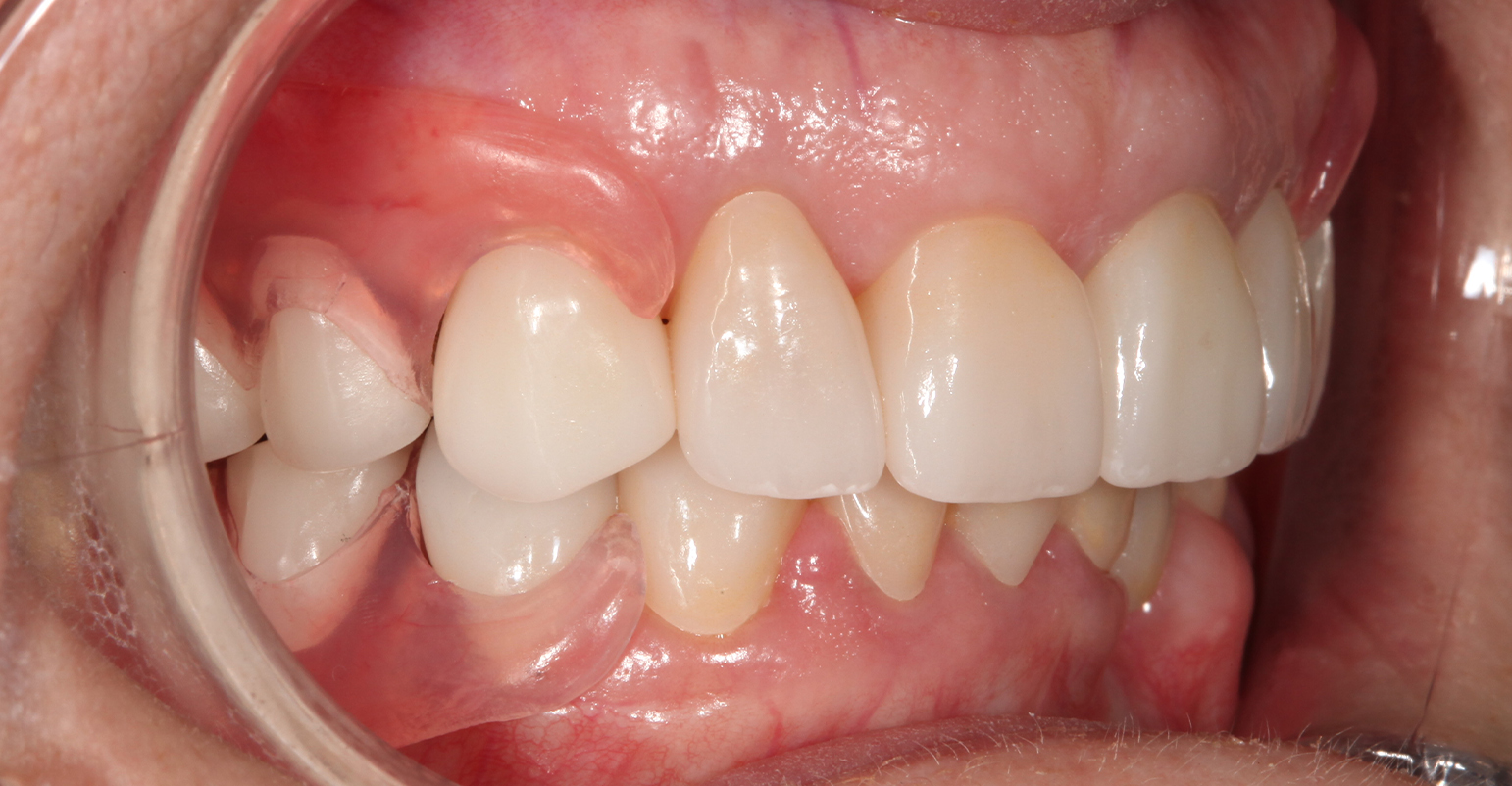
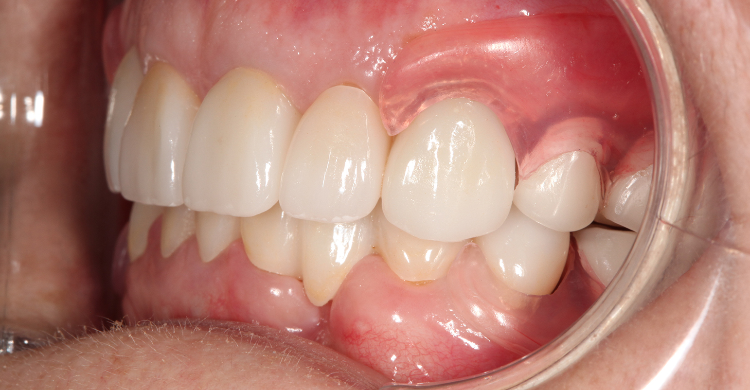
Smile Makeover with Dental Crowns and Removable Partial Denture BEFORE and after photos
Dental Crowns and removable partial denture smile transformation
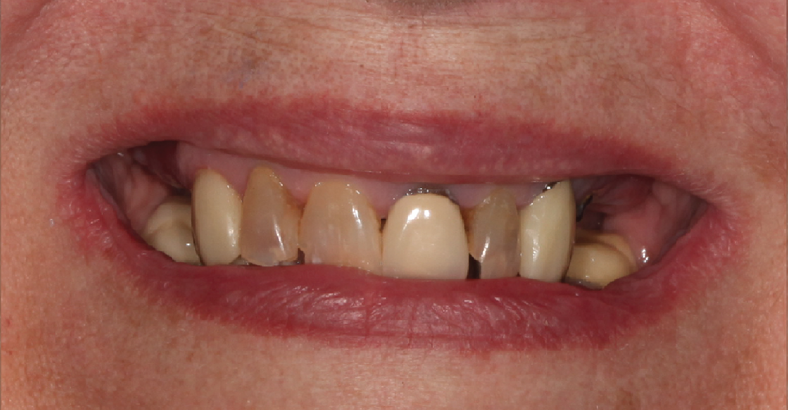
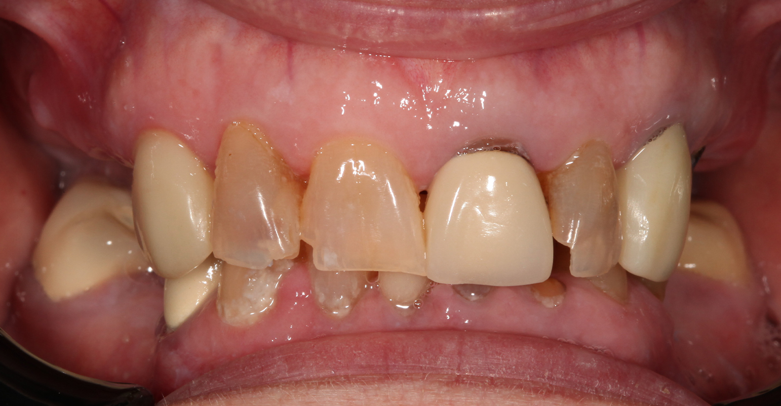
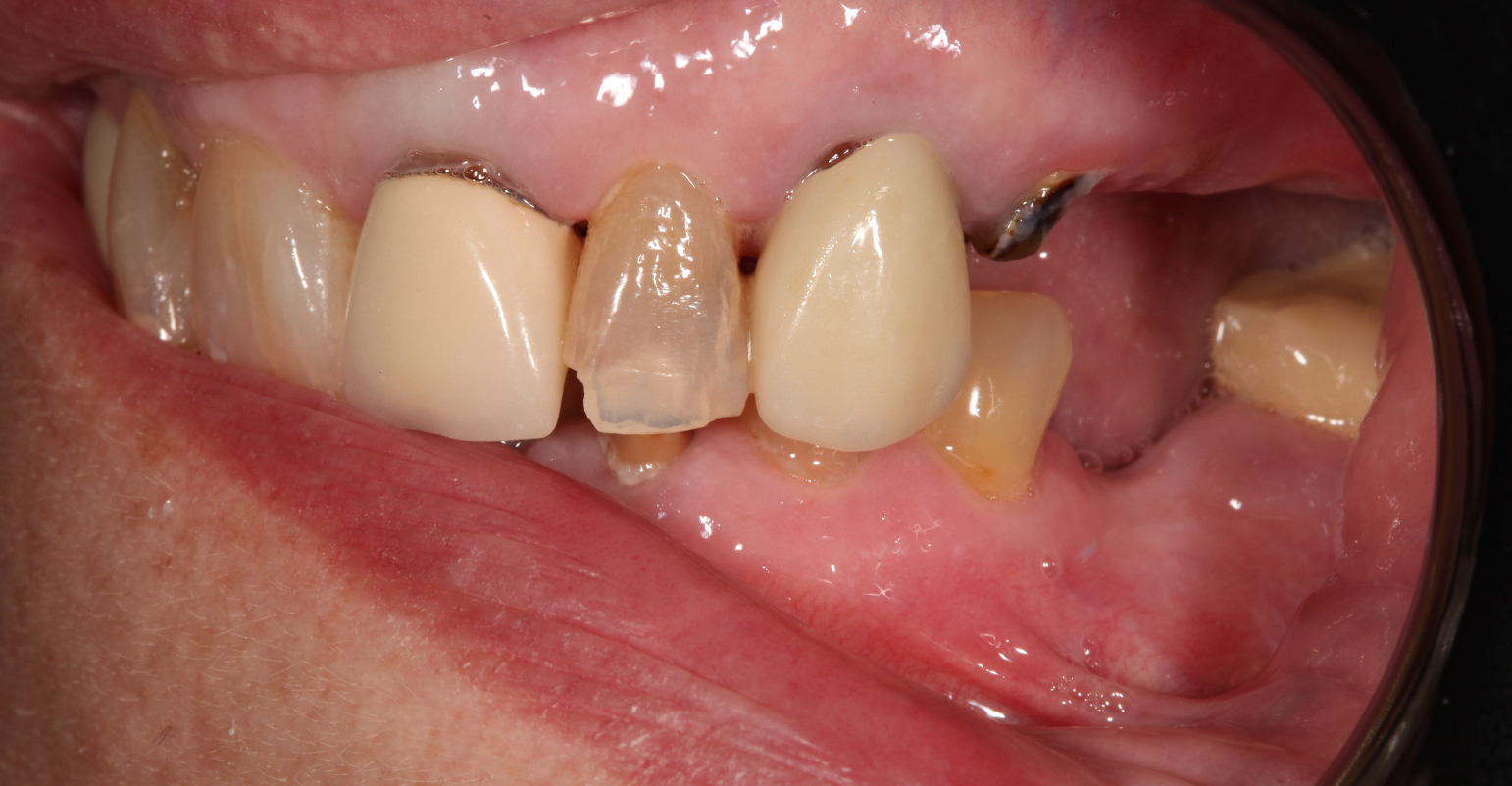
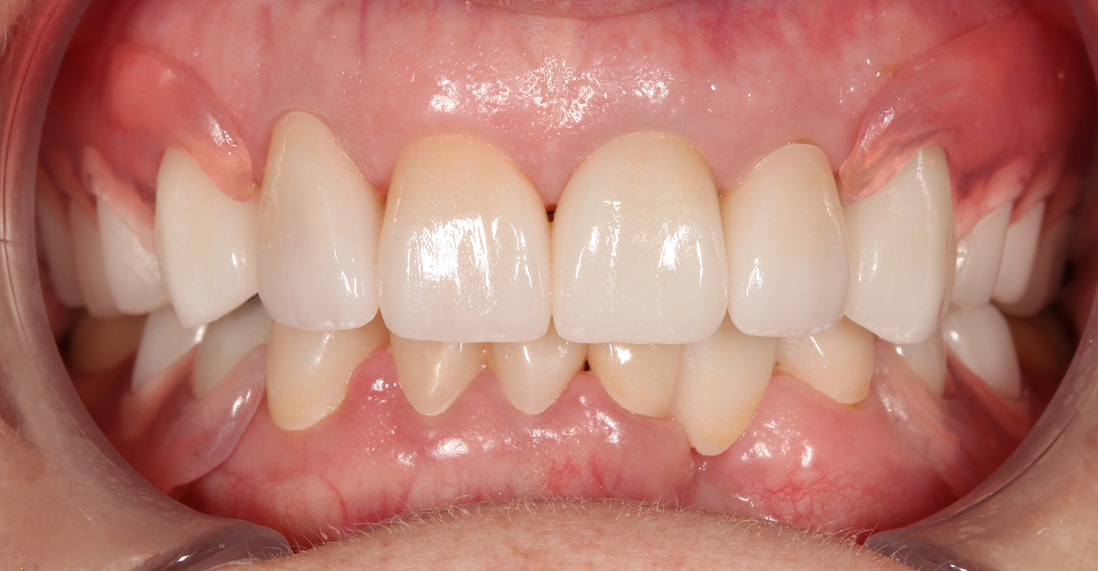
This patient’s smile makeover restored beauty with handcrafted porcelain crowns in the front, and restored function with a discreet removable partial denture in the back. The result is a smile that allows our patient to smile and eat without giving it a second thought.

<>

<>
Before




after




discover more smile transformations
book your smile makeover consultation at kakaris family dentistry
Take the first step toward your dream smile.
Call or text us at 734-676-1656 to schedule your consultation.
Experience modern, industry-leading,
Quality Dental care
right here in Woodhaven, Michigan.
Whether you need routine dental care or are looking to transform your smile, our team of skilled providers are dedicated to helping you achieve the healthy smile of your dreams.