Do you dream of a perfect, radiant smile? At Kakaris Family Dentistry, our smile makeovers combine cosmetic and restorative dentistry to create fully customized smile transformations. Our doctors have traveled the world pursing advanced education specific to full mouth restoration and smile makeovers. We are proud to use the latest dental technology, such as 4D jaw motion tracking, digital smile design, 3D intra-oral scanning and 3D x-rays, resulting in a superior Smile Makeover. Serving patients throughout Woodhaven, Trenton, Taylor, Southgate, and the Downriver area for over 45 years, we design every smile to enhance your facial features and boost your confidence.

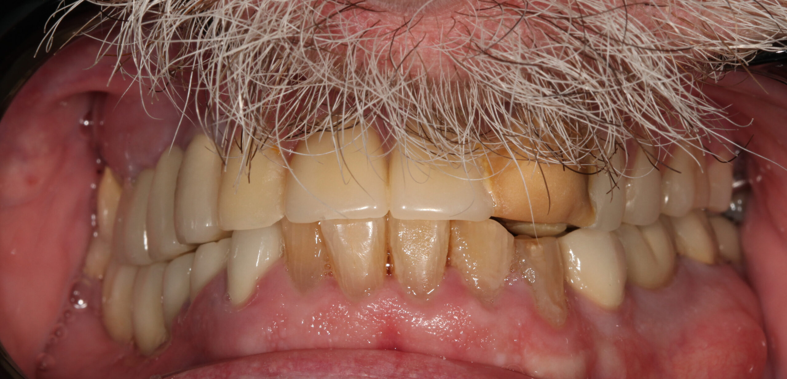
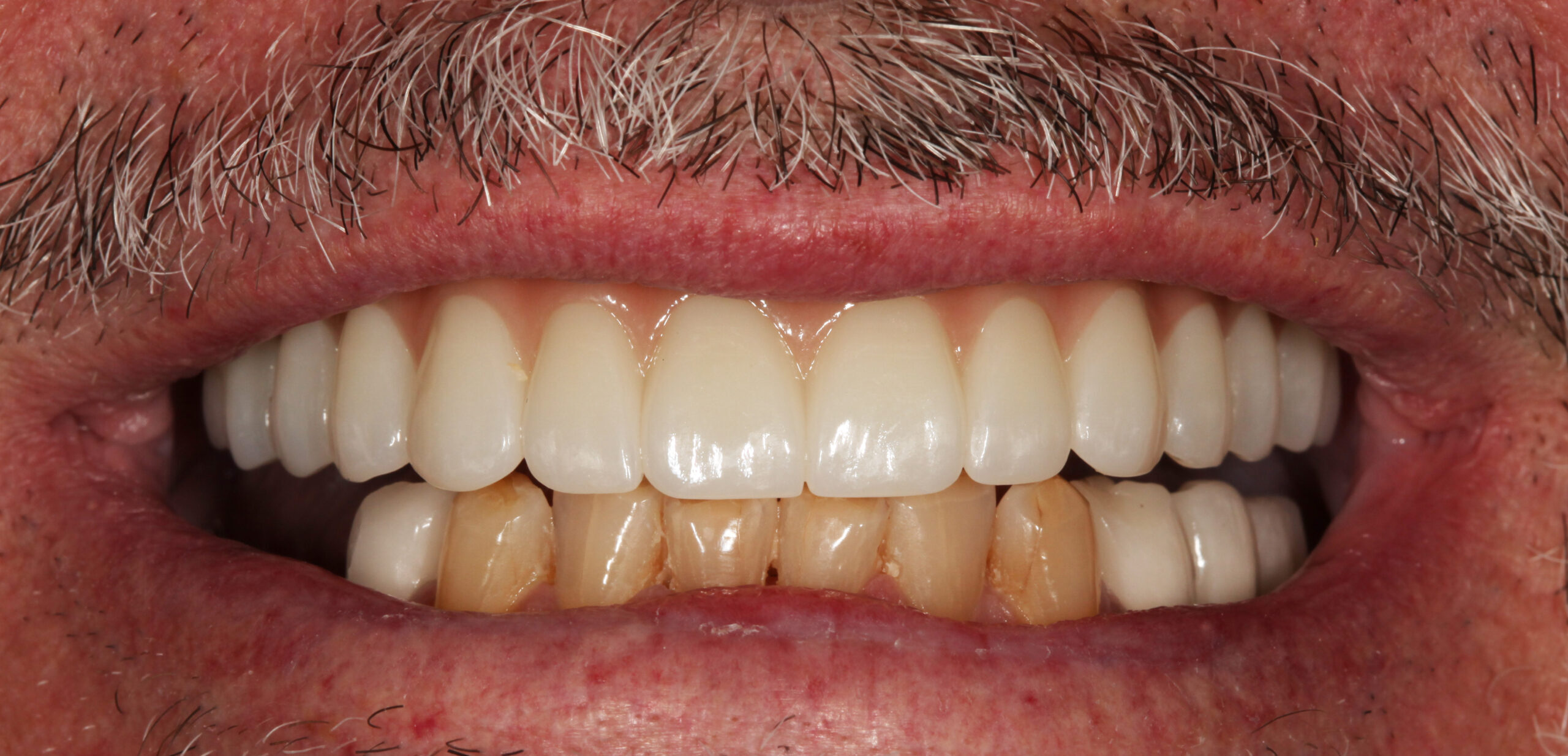
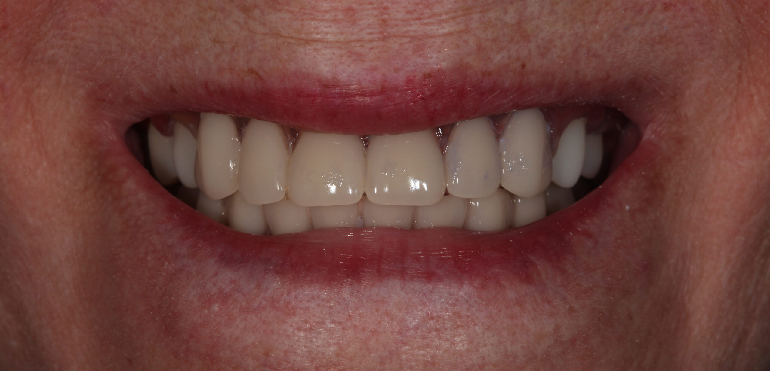
This patient’s full mouth reconstruction restored their ability to speak, eat and smile with confidence.
A smile makeover is a completely personalized combination of dental treatments planned with the goal of improve the appearance and function of your teeth and gums. When you meet with our dentists for your smile makeover consultation, they will create your unique treatment plan to help you achieve your desired outcome. Treatments may include:
By combining these and other treatments, we can restore your oral health and correct issues like discoloration, misalignment, gaps, chips, or uneven teeth, giving you a radiant, natural, balanced smile.

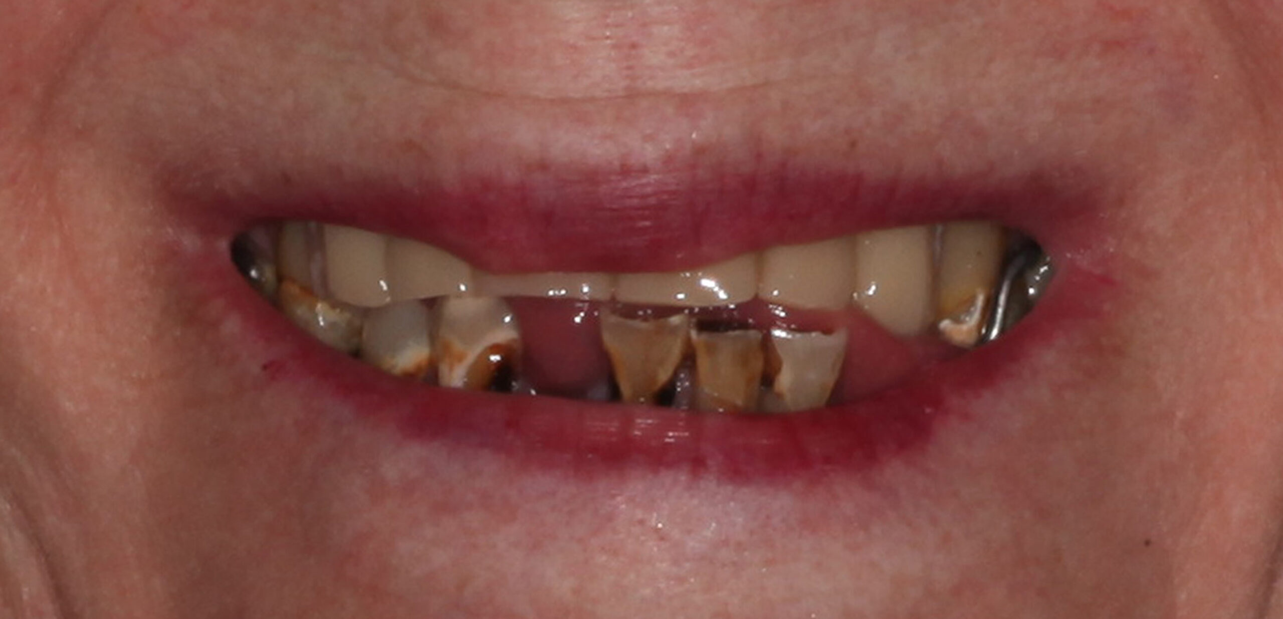
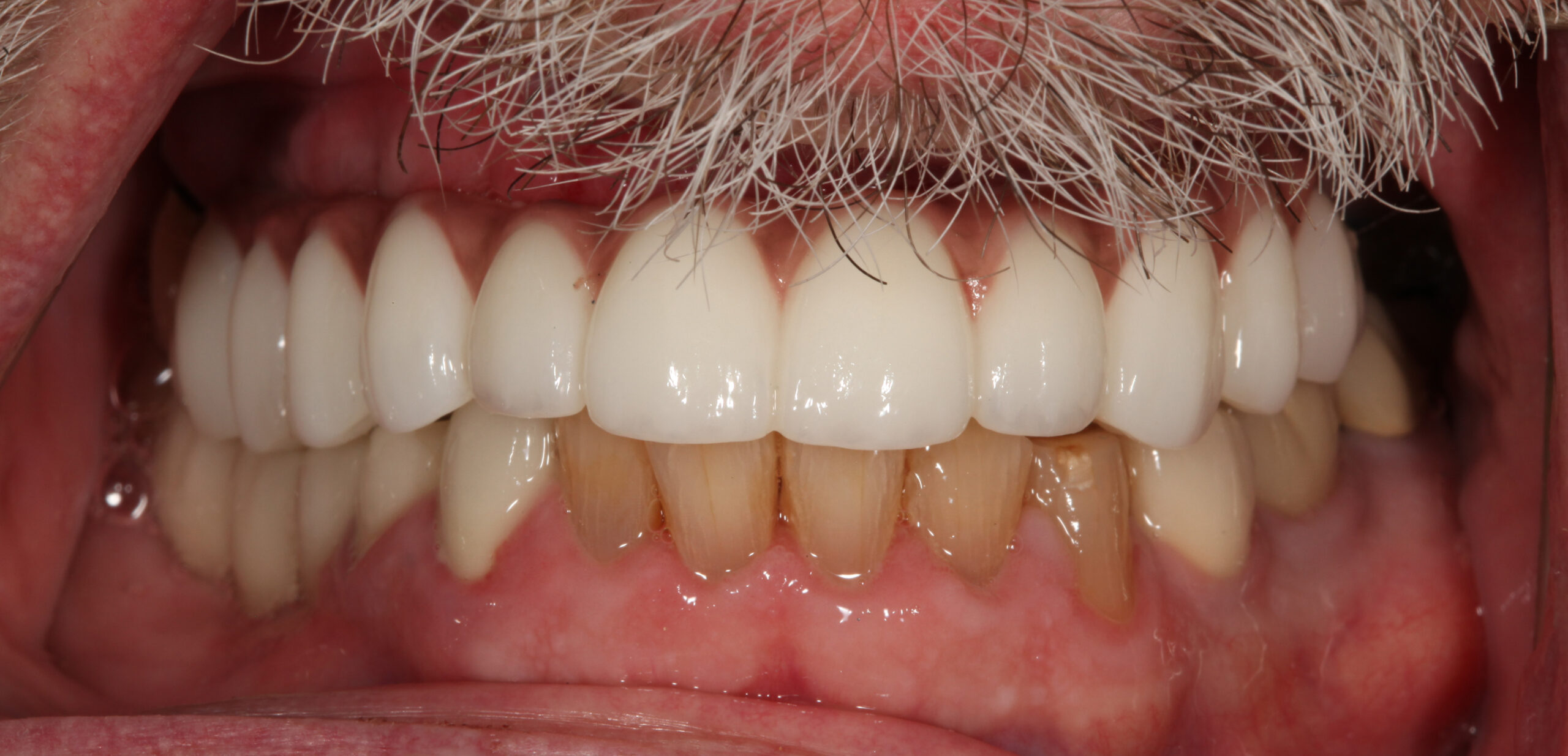
This patient’s life-changing smile makeover was completed by Dr. Kakaris Porter, restoring their ability to chew and smile with real, lasting confidence.
Smile makeovers by our dentists at Kakaris Family Dentistry are ideal for patients who:
No matter your starting point, Dr. Arestea Kakaris and all of our dentists prioritize protecting and enhancing as much of your healthy natural tooth structure as possible, so you can trust that we won’t recommend drastic treatments that don’t consider the longevity of your results. We will provide a tailored treatment plan, completely customized for you with the goal of achieving your dream smile and results that will last you for years to come.
Dr. Kakaris and Dr. Kakaris Porter use industry leading 4D jaw motion tracking technology to ensure better customization, comfort, longevity, and accuracy for every smile makeover they do.
Smile makeovers by our dentists at Kakaris Family Dentistry are ideal for patients who:
No matter your starting point, Dr. Kakaris and all of our dentists prioritize protecting and enhancing as much of your healthy natural tooth structure as possible, so you can trust that we won’t recommend drastic treatments that don’t consider the longevity of your results. We will provide a tailored treatment plan, completely customized for you with the goal of achieving your dream smile and results that will last you for years to come.
We evaluate your teeth, gums, and bite while discussing your smile goals.
We create a customized plan of procedures designed to help you achieve a healthy smile that achieves your aesthetic goals.
We take photo records, record you 4D jaw motion, and begin your treatment.
Once you complete treatment, we will take another set of photo records, then discuss and ongoing routine treatment plan to protect your investment and ensure your smile remains beautiful and healthy for years to come.
Dr. Kakaris and her team of doctors have cultivated a strong network of lab technicians and master ceramists who help us bring dream smiles to life. You can feel confident knowing that every smile makeover we do is crafted with accurate precision and beautiful artistry.
View our Smile Gallery to view real, life-changing smile makeovers done by our doctors here at Kakaris Family Dentistry.
Take the first step toward achieving the smile you’ve always wanted. Call (734) 676-1656 or request an appointment online to schedule your smile makeover consultation in Woodhaven, MI.



Frequently asked questions about Smile Makeovers.
A smile makeover can take anywhere from a few weeks to several months, depending on the treatments involved and your individual goals.
Our smile makeovers are always completely customized to your specific needs and goals, never a “one-size-fits-all” set of procedures. Depending on your needs, a smile makeover could include veneers, crowns, bonding, teeth whitening, clear aligners, gum reshaping, implants or many other dental treatments. Our dentists always start by evaluating the health and current state of your teeth and gums, and based on what they find may need to start your transformation by addressing existing issues (such as cavities or gum disease) before they can do the aesthetic part of your makeover.
Yes. Smile makeovers are designed to enhance your natural features, creating a beautiful, balanced, and natural-looking smile. During the planning phase of your treatment, we will take a special set of photos to capture your unique features. Your makeover will be completely custom-designed to complement your facial features such as eyes, lips, face shape and midline.
Yes! During the planning phase of your treatment, we will take 3D scans and photos of your face and teeth, and finalize what your new smile will look like with our digital smile design software. You will be able to preview and approve a realistic mockup of your new smile before treatment begins.