Porcelain Veneers in Woodhaven, MI

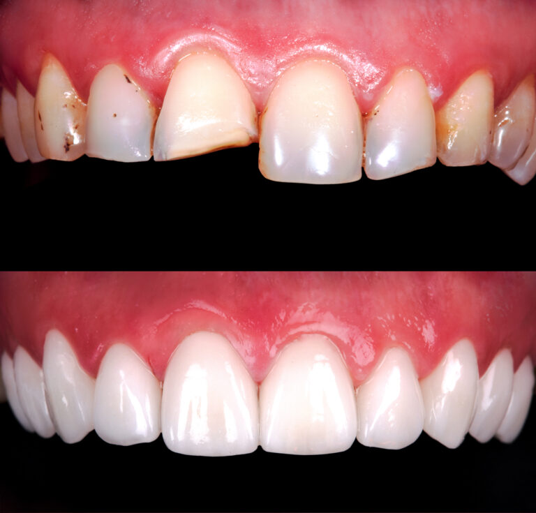
If you are looking for a long-lasting, natural-looking solution to achieve your dream smile, porcelain veneers are a high-quality solution for amazing smile transformations. At Kakaris Family Dentistry, we prioritize preserving as much of your natural tooth structure as possible (we don’t shave your teeth down to tiny nubs), and we specialize in completely customized smile transformations, starting with digital smile design tailored to your facial features and personal smile goals. The result is a highly aesthetic, beautiful smile that looks and feels like you.

You don’t have to use your imagination, we help you envision what your new smile will look like with our digital smile design software.

What Are Porcelain Veneers?

Porcelain veneers are ultra-thin, custom-made shells that are permanently bonded to cover the front surface of your teeth, improving their appearance.

Benefits of Porcelain Veneers

Our Veneer Process

1

Consultation & Smile Assessment

We evaluate your teeth, discuss your smile goals, and determine if you are a good candidate for porcelain veneers.

2

Records and Smile Design

We take 3D scans and photos of your teeth, recordings of your jaw motion, and finalize what your new smile will look like with our digital smile design software.

3

Custom Design

Your veneers are custom designed to match your facial features and achieve your desired results.

4

Placement

With precise preparation and bonding, we securely place your veneers for a beautiful, natural-looking smile transformation.

Our practice is proud to have cultivated a strong network of clinicians, lab technicians, and master ceramists who bring dream smiles to life. You can trusts that every porcelain veneer we place is carefully crafted to ensure perfect fit, function, and aesthetics.

Why Choose Kakaris Family Dentistry for Porcelain Veneers

Experienced cosmetic dentists and advanced smile design technology

Access to a skilled team of ceramists and lab technicians for superior results

Complete customization to your features ensures beautiful, natural-looking results

Over 45 years of serving patients throughout Woodhaven, Trenton, Taylor, Southgate, and the Downriver area

Schedule Your Porcelain Veneers Consultation

Transform your smile with porcelain veneers from Kakaris Family Dentistry. Call (734) 676-1656 or request an appointment online today to schedule your consultation in Woodhaven, MI.

FAQs

Porcelain Veneers

Frequently asked questions about Porcelain Veneers.

How long do porcelain veneers last?

Porcelain veneers can last 10–15 years or longer with proper care, good oral hygiene, and regular dental visits.

In most cases, porcelain veneers are not reversible because a small amount of enamel is usually removed to place them securely.

No special care is needed—veneers should be brushed and flossed like natural teeth. Avoid biting hard objects and keep up with regular dental checkups to help them last.

No. Our doctors at Kakaris Family Dentistry prioritize preserving as much of your natural tooth structure as possible. Modern veneer preparation is conservative, and only a small amount of enamel is removed to allow for a natural fit and appearance.

The veneer process is generally comfortable. Some patients may experience mild sensitivity after preparation of the tooth, but discomfort is usually minimal and temporary.

If your veneer breaks or falls offs, contact our office and we will get you in as soon as possible and often the same day if we can! If you have the veneer that fell off, please bring it to your appointment. In many cases, the veneer can be repaired by rebonding, or replaced to restore your smile.

Veneers are considered an elective cosmetic, so they are typically not covered by dental insurance. In order to help you afford your dream smile, we do offer third party financing with Care Credit and Sunbit.

Veneers can correct certain mild misalignment issues or spaces between the teeth. Your dentist will evaluate your teeth at your consultation and determine if your case can be corrected without orthodontic treatment.