GUM DISEASE TREATMENT & PERIODONTAL CARE IN WOODHAVEN, MI

Do your gums bleed when you brush or floss? Gum disease (periodontal disease) is a common but serious condition that can lead to tooth loss and affect overall health. At Kakaris Family Dentistry, our Woodhaven dentists provide comprehensive gum disease treatment to restore gum health and protect your smile.

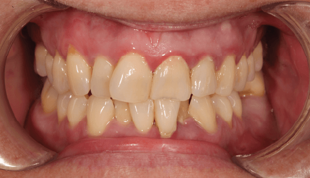
DISEASED GUMS
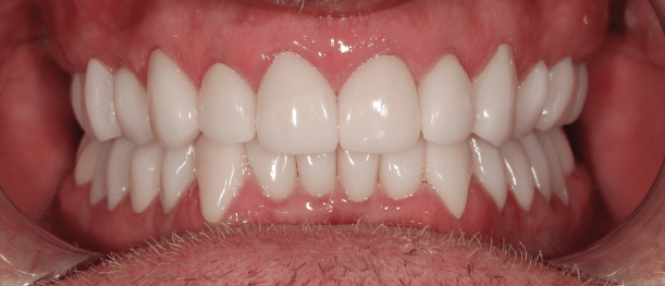
HEALTHY GUMS
Our team is here to help you achieve a healthy smile.

WHAT IS GUM DISEASE?

Gum disease is an infection of the gums caused by plaque and bacteria buildup. If untreated, it can lead to:
Searching for a “gum disease dentist near me”? We offer solutions for both early and advanced cases.

OUR GUM DISEASE TREATMENT OPTIONS

1

PREVENTATIVE CARE

Professional dental cleanings and home care guidance.
2

SCALING & ROOT PLANING

Deep cleaning to remove plaque and tartar below the gum line.
3

LANAP® LASER THERAPY

Minimally invasive laser treatment for advanced cases.
4

SURGICAL PERIODONTAL CARE

For severe gum disease, we provide targeted surgical solutions.
Once periodontal disease is under control, ongoing maintenance and regular check-ups are required to prevent recurrence .

WHY CHOOSE KAKARIS FAMILY DENTISTRY FOR PERIODONTAL CARE?

Expertise in gum disease treatment and periodontal care

Advanced technology including LANAP® laser therapy

Personalized treatment plans tailored to your oral health

Over 45 years of serving the Downriver Michigan community

If you’re looking for “gum disease treatment Woodhaven MI” or “periodontal therapy near me”, our team is here to help.

SCHEDULE YOUR GUM DISEASE CONSULTATION

Protect your teeth and gums before problems worsen. Call 734-676-1656 or request an appointment online today to schedule a gum disease treatment consultation in Woodhaven, MI.

FAQs

GUM DISEASE TREATMENT
Frequently asked questions about gum disease treatment and periodontal care.
Can gum disease be reversed?
The early stage of gum disease (gingivitis) can be reversed with professional cleanings and good home care. Advanced gum disease (periodontitis) cannot be fully reversed, but it can be treated and controlled to prevent further damage.

Gingivitis is early, mild gum inflammation caused by plaque buildup and is reversible. Periodontitis is the advanced stage, where the gums pull away from the teeth and bone loss can occur. It requires deeper, ongoing periodontal treatment.

Most patients with gum disease need a periodontal cleaning every 3–4 months to maintain gum health and prevent progression. Your dentist or hygienist will recommend the best schedule for you.