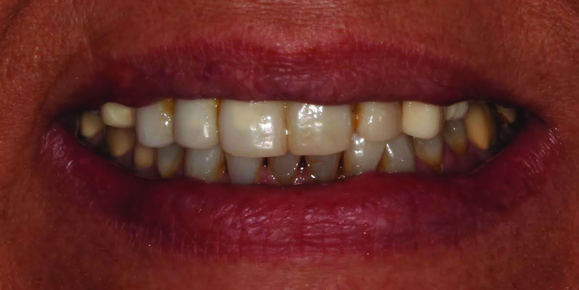
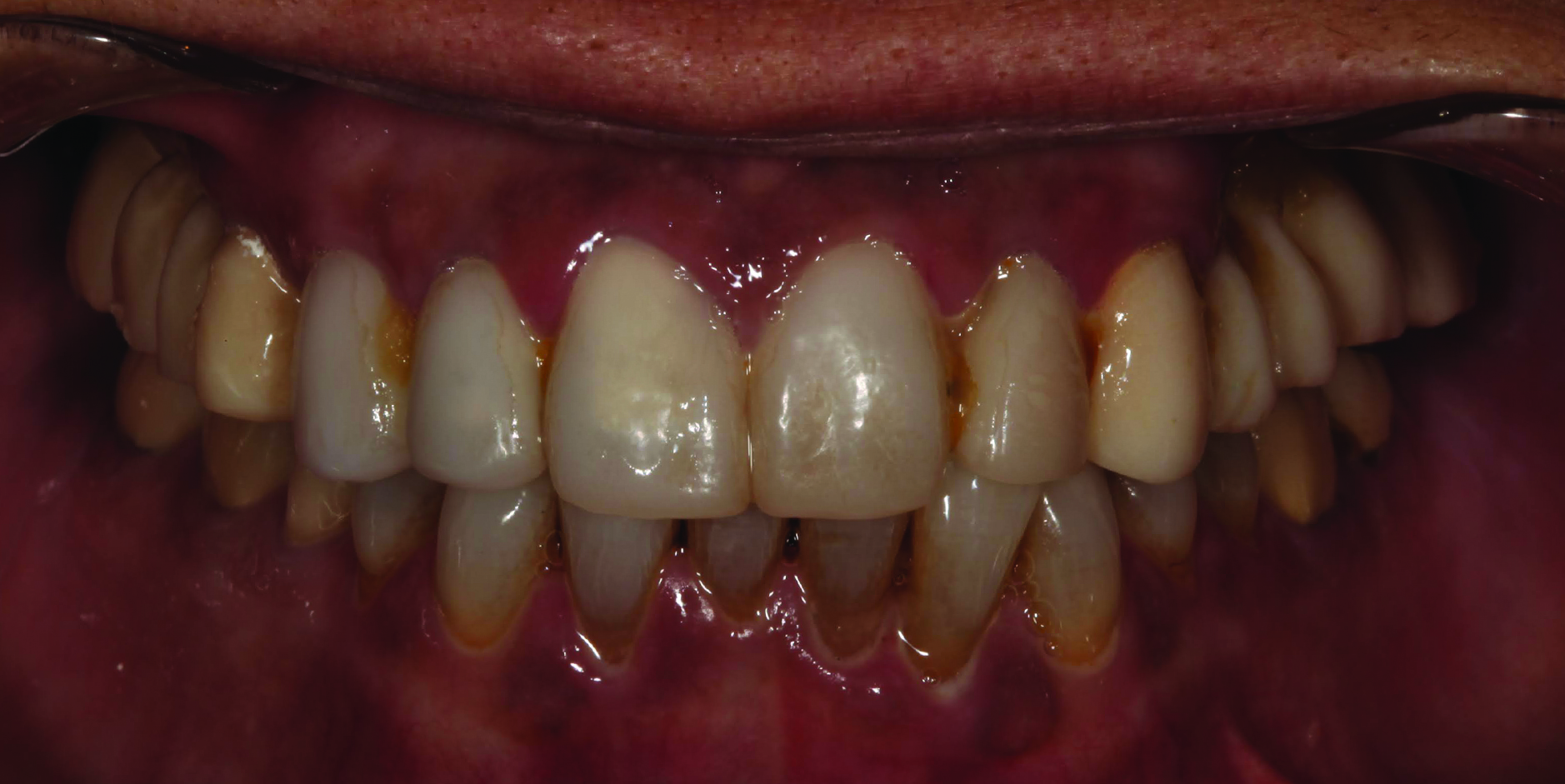
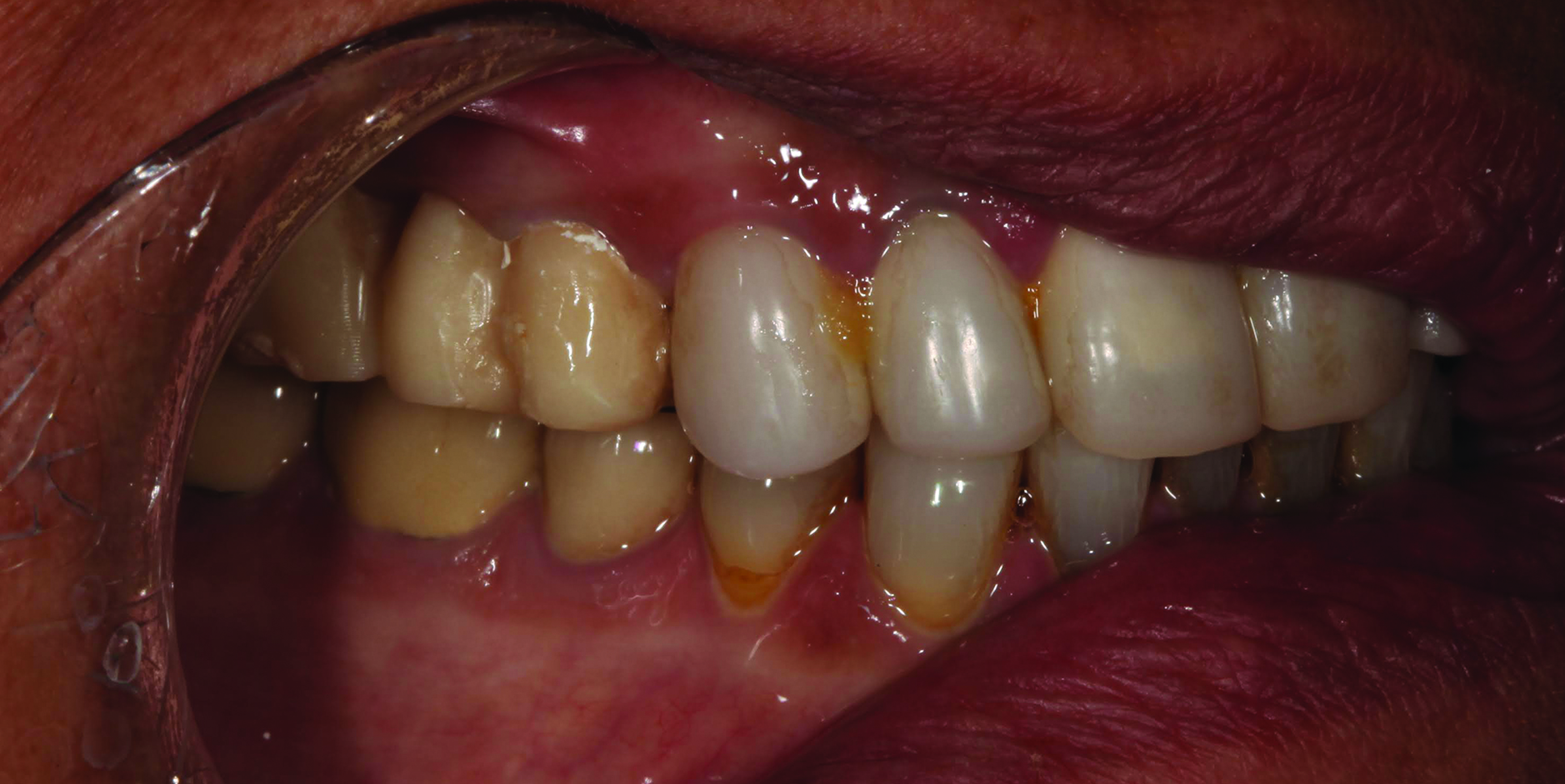
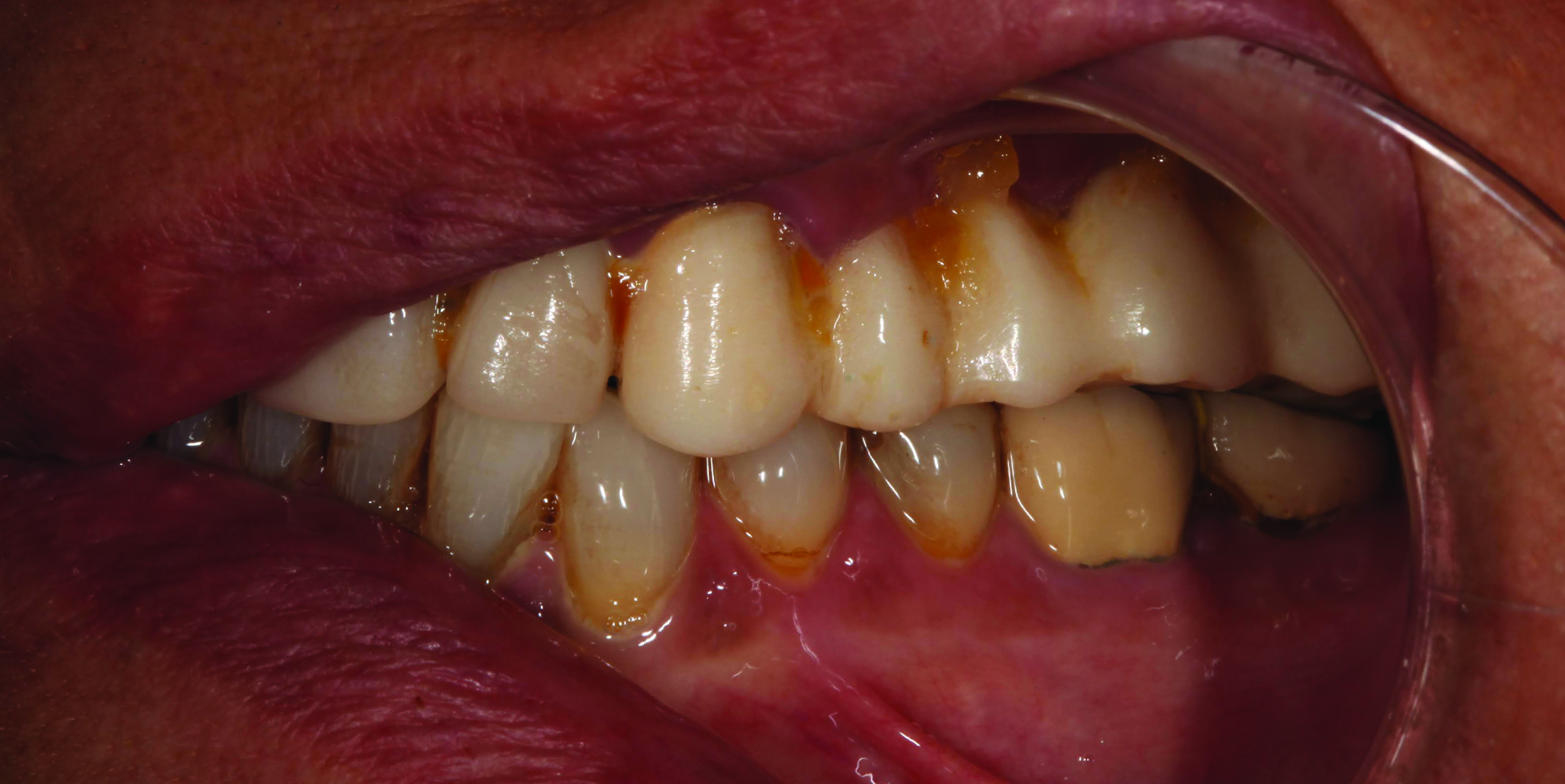
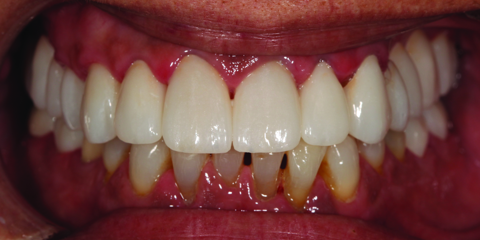
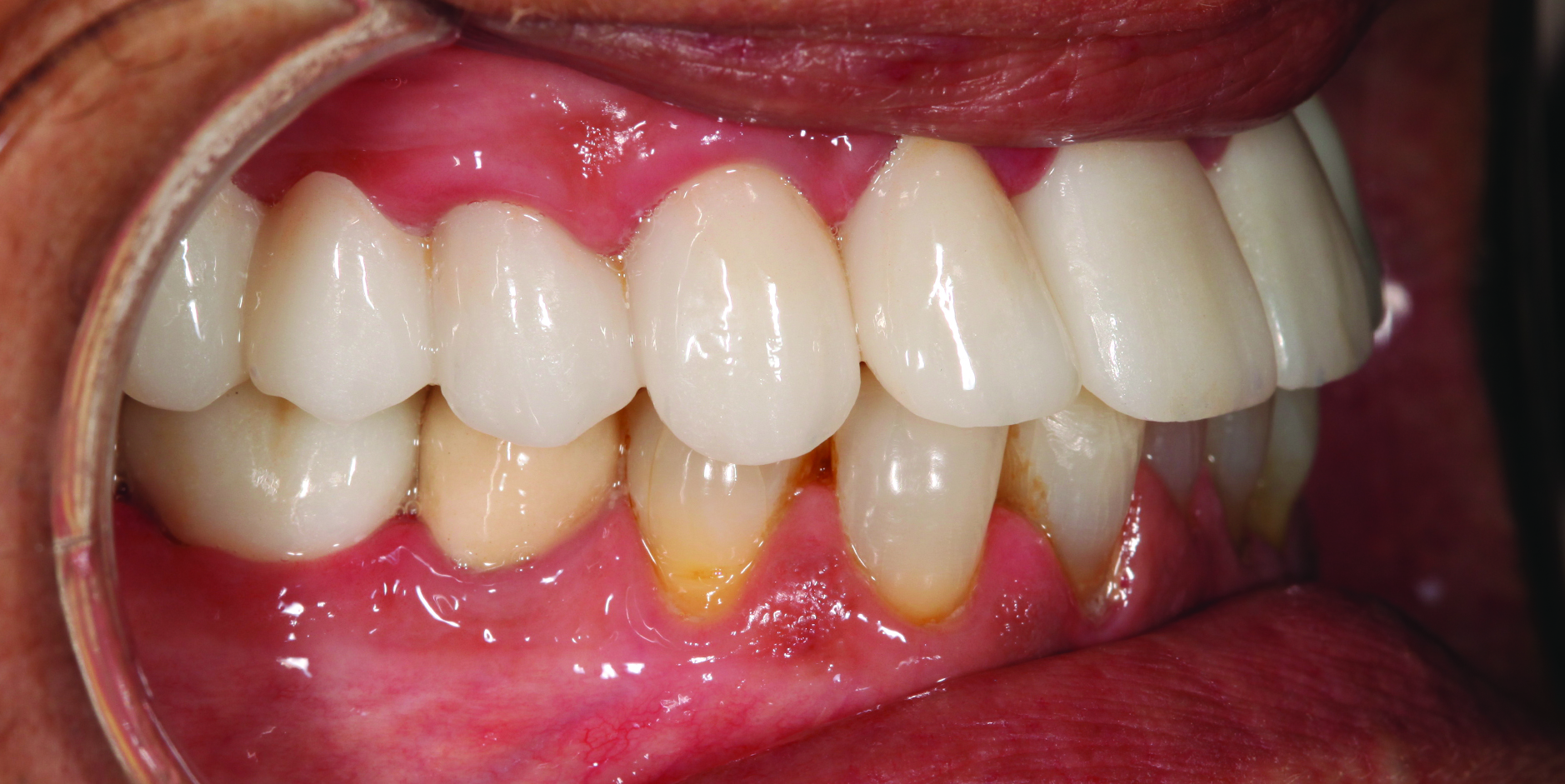
BEFORE and after photos
smile transformation with custom porcelain crowns
Dr. Kakaris helped her patient in address dental decay and achieve her dream smile with a highly aesthetic porcelain dental crown makeover.
The result is a stunning smile makeover that gives her patient the confidence to smile.

<>
Before




after




discover more smile transformations
book your smile makeover consultation at kakaris family dentistry
Take the first step toward your dream smile.
Call or text us at 734-676-1656 to schedule your consultation.
Experience modern, industry-leading,
Quality Dental care
right here in Woodhaven, Michigan.
Whether you need routine dental care or are looking to transform your smile, our team of skilled providers are dedicated to helping you achieve the healthy smile of your dreams.