Smile Makeover with Dental Crowns BEFORE and after photos
Dental Crowns smile transformation
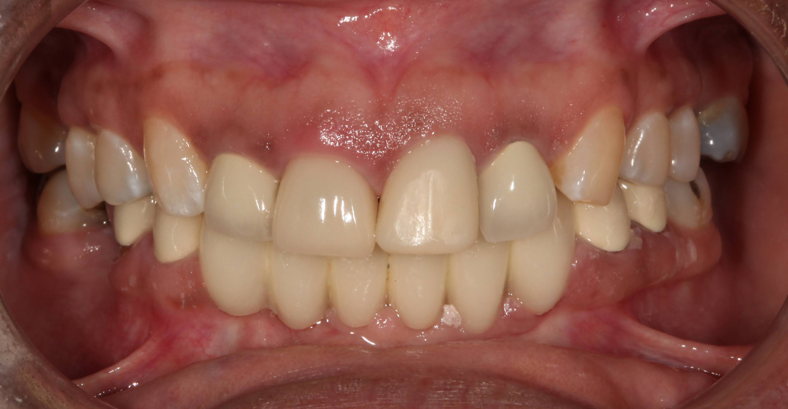
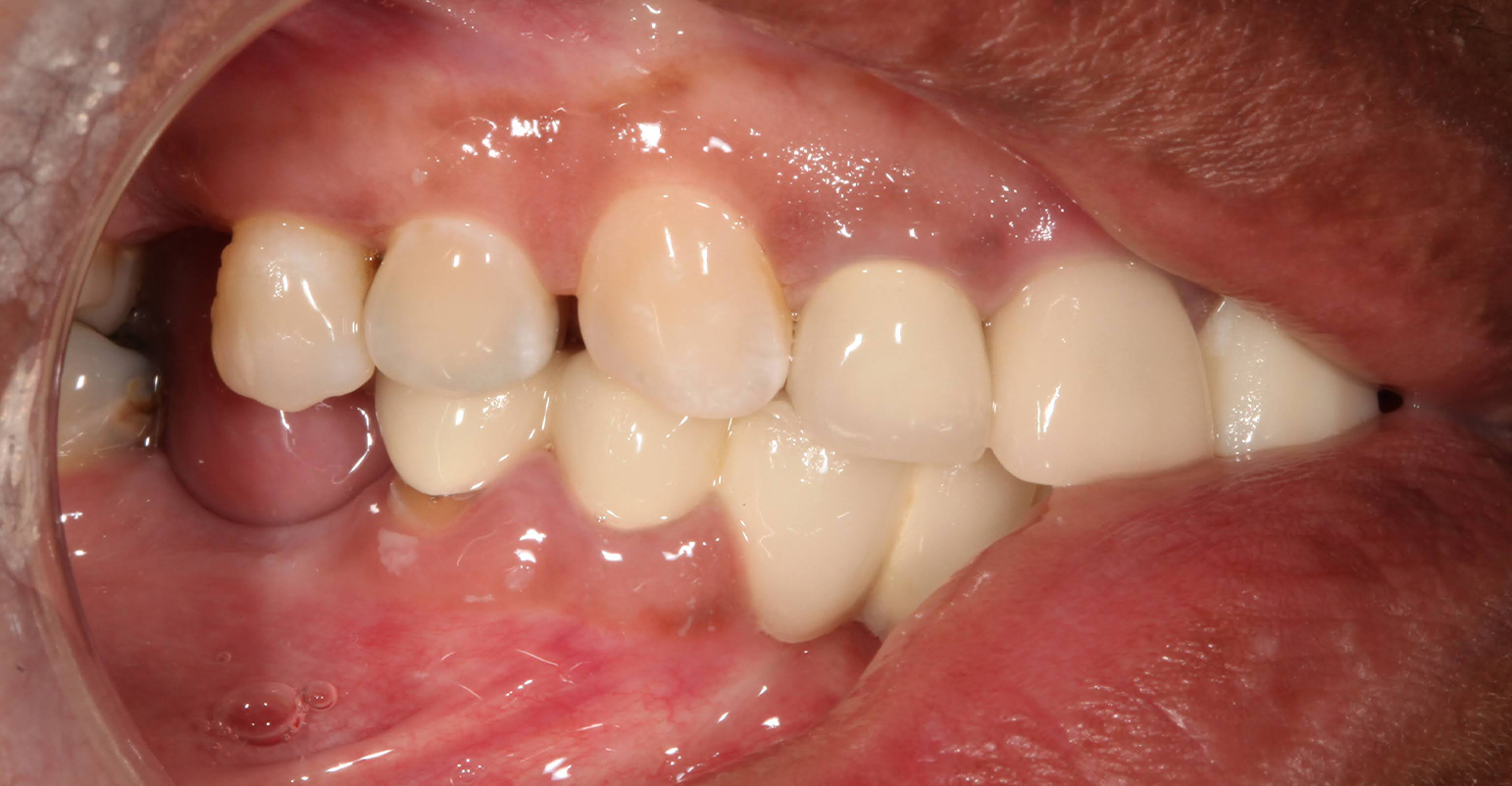
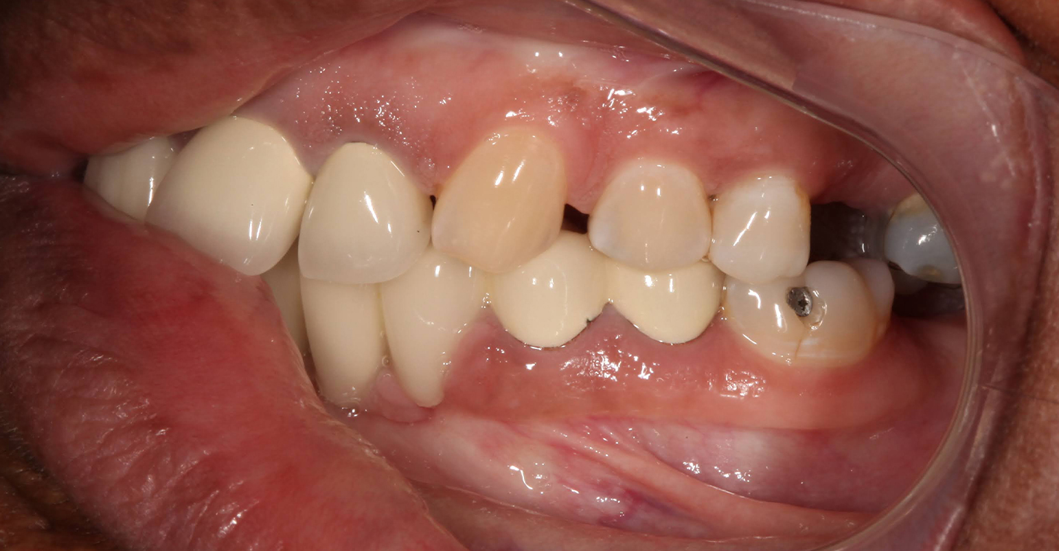
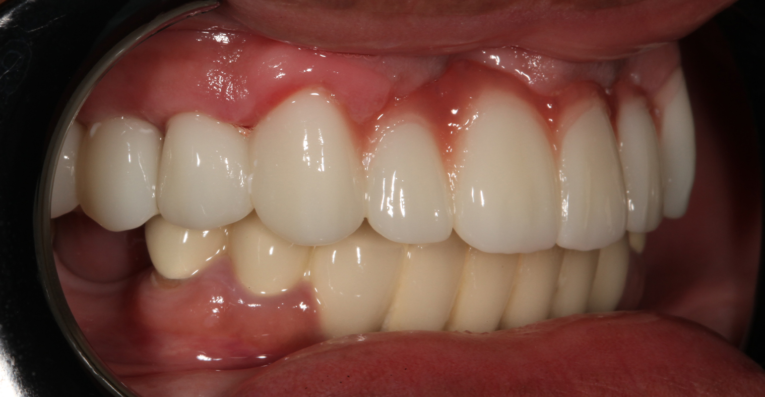
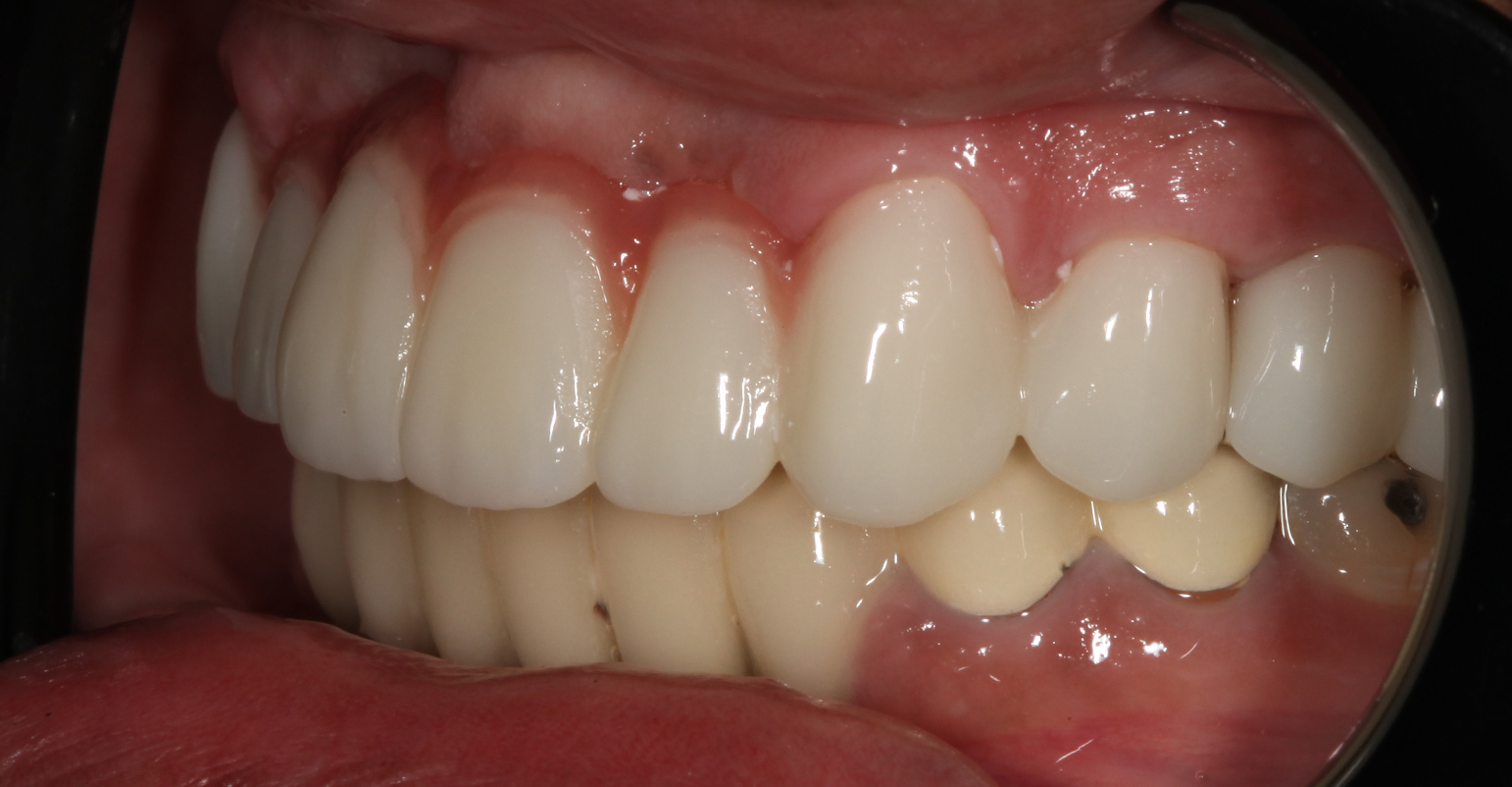
This gorgeous smile makeover corrected our patient’s chief concerns: misaligned teeth and a gummy smile. A ginigivectomy by Dr. Kakaris enhanced and balance the gum line esthetics, followed by a beautifully crafted porcelain bridge and crowns to perfect tooth shape and straighten their appearance without orthodontics.

<>

<>
Before




after




discover more smile transformations
book your smile makeover consultation at kakaris family dentistry
Take the first step toward your dream smile.
Call or text us at 734-676-1656 to schedule your consultation.
Experience modern, industry-leading,
Quality Dental care
right here in Woodhaven, Michigan.
Whether you need routine dental care or are looking to transform your smile, our team of skilled providers are dedicated to helping you achieve the healthy smile of your dreams.