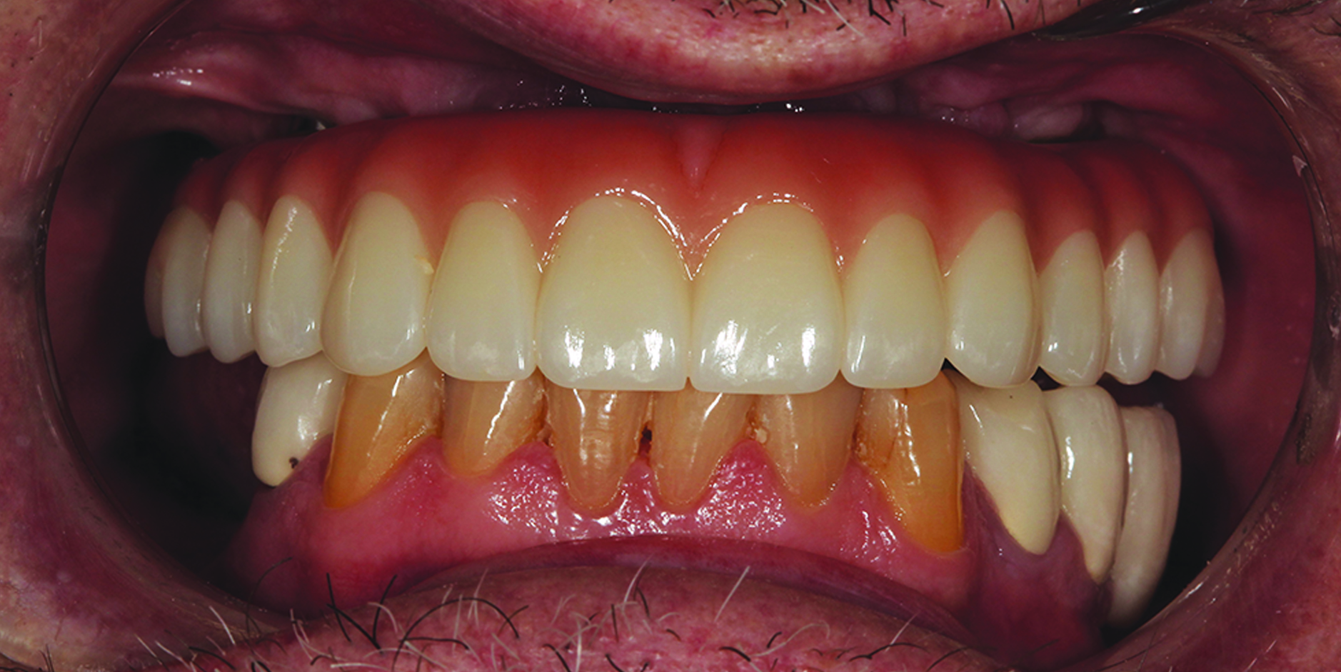
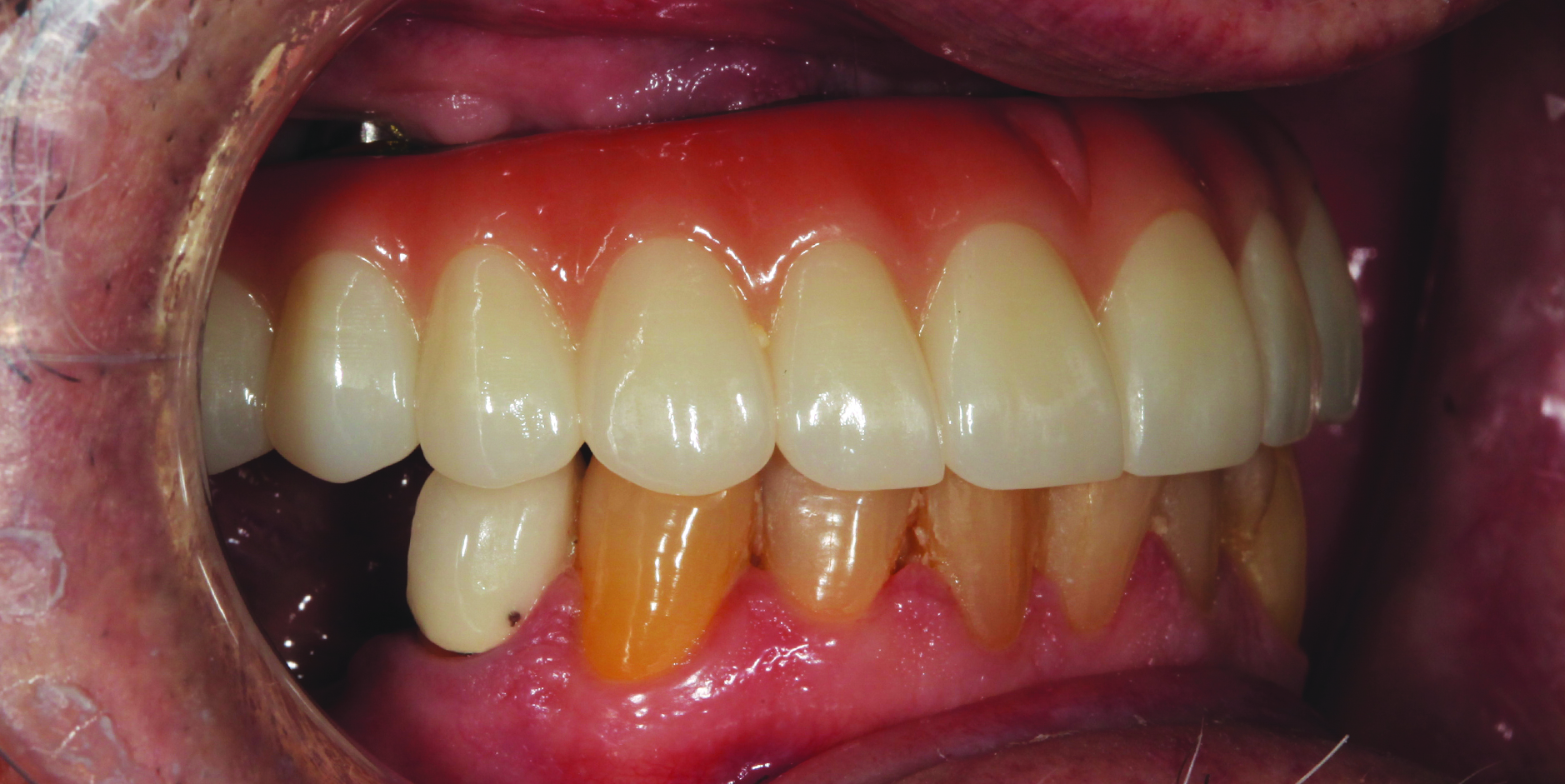
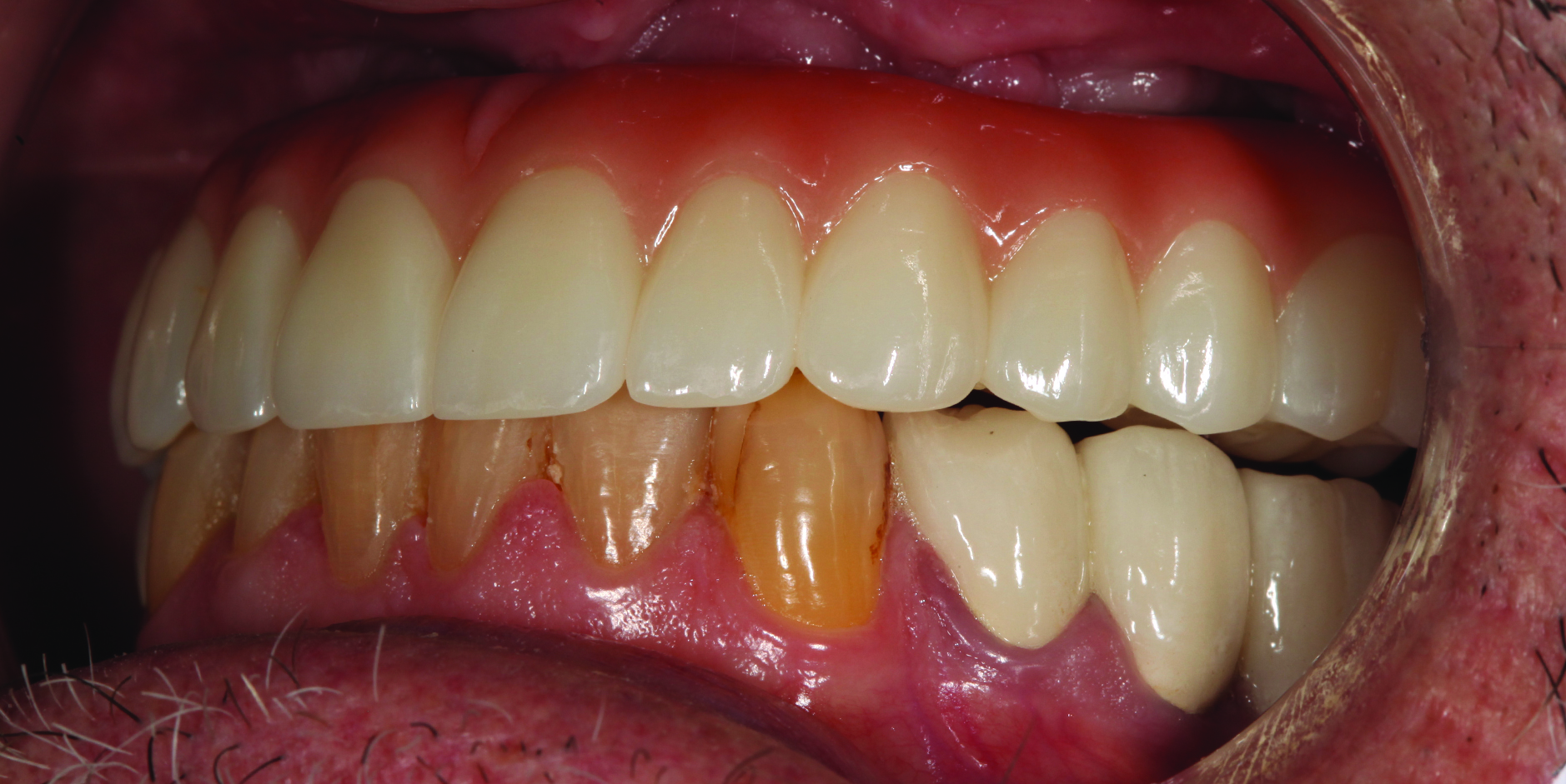
All On 6 Dental Implant BEFORE and after photos
All-on-6 dental implant smile transformation
This patient struggled for years with dental issues, pain and discomfort before choosing a fixed All-On-6 dental implant solution. Now he can smile, speak, and eat his favorite foods with confidence.

<>
Before

after




discover more smile transformations
book your smile makeover consultation at kakaris family dentistry
Take the first step toward your dream smile.
Call or text us at 734-676-1656 to schedule your consultation.
Experience modern, industry-leading,
Quality Dental care
right here in Woodhaven, Michigan.
Whether you need routine dental care or are looking to transform your smile, our team of skilled providers are dedicated to helping you achieve the healthy smile of your dreams.