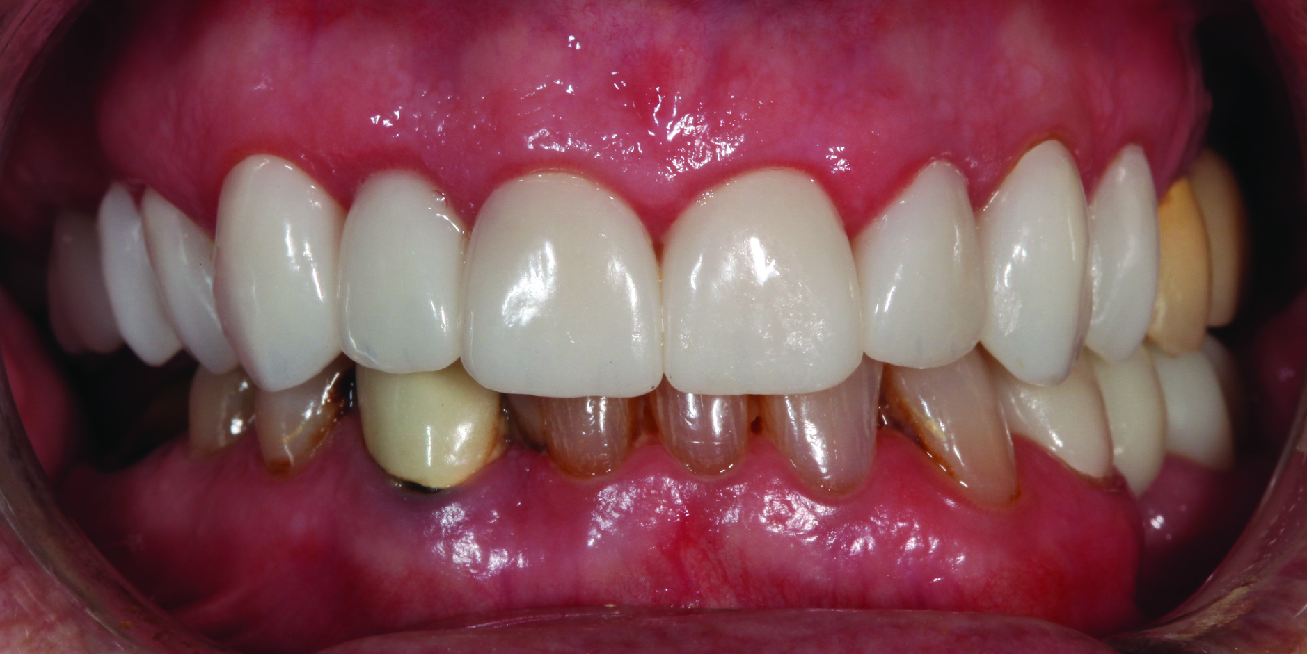
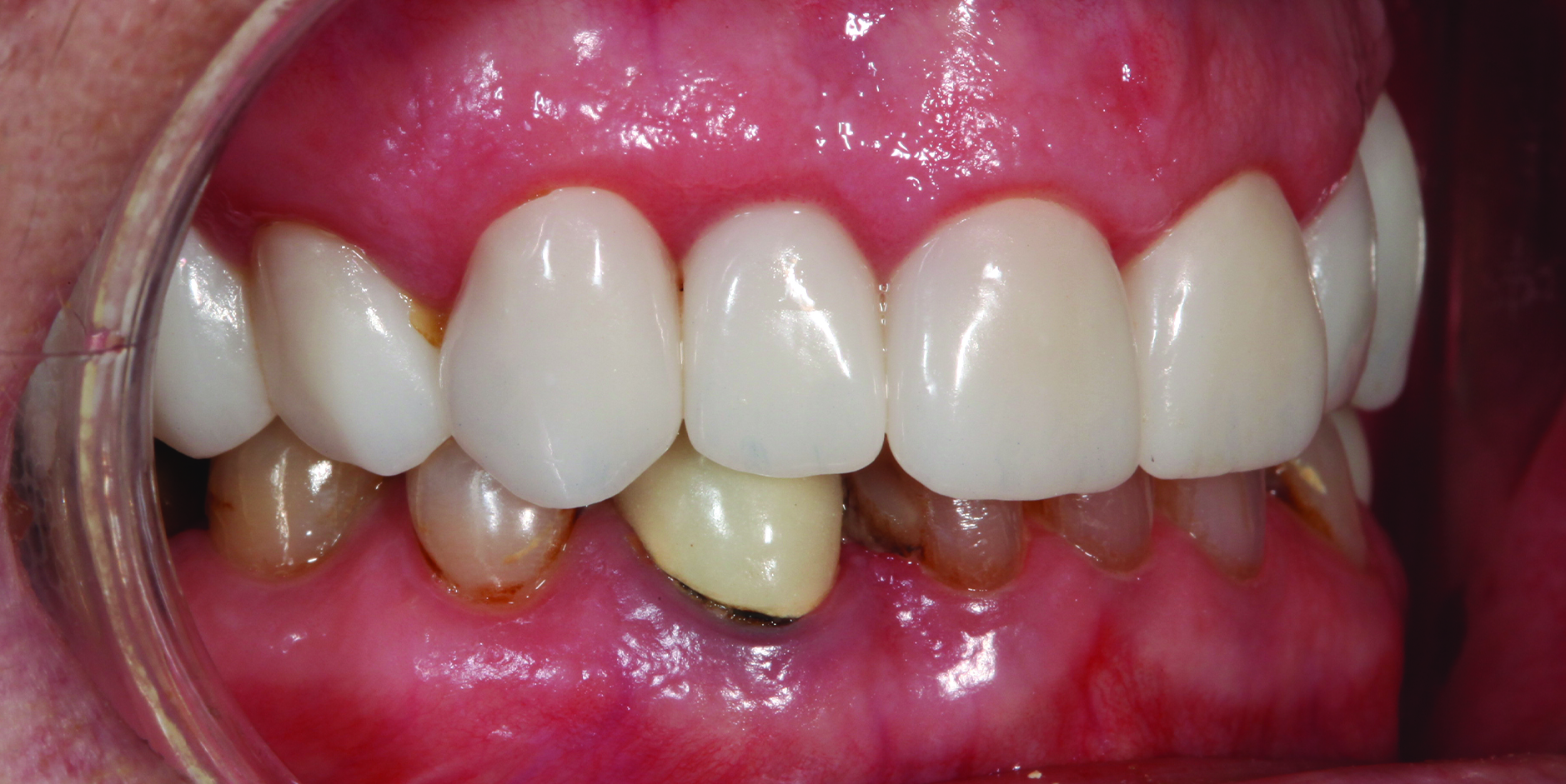
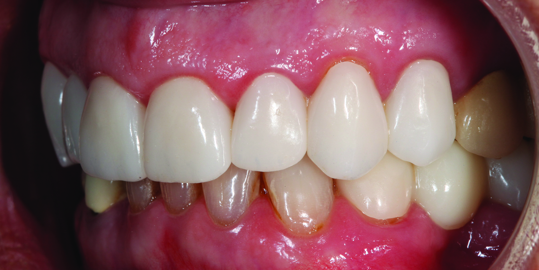
Smile Makeover with Dental Crowns BEFORE and after photos
Dental Crowns smile transformation
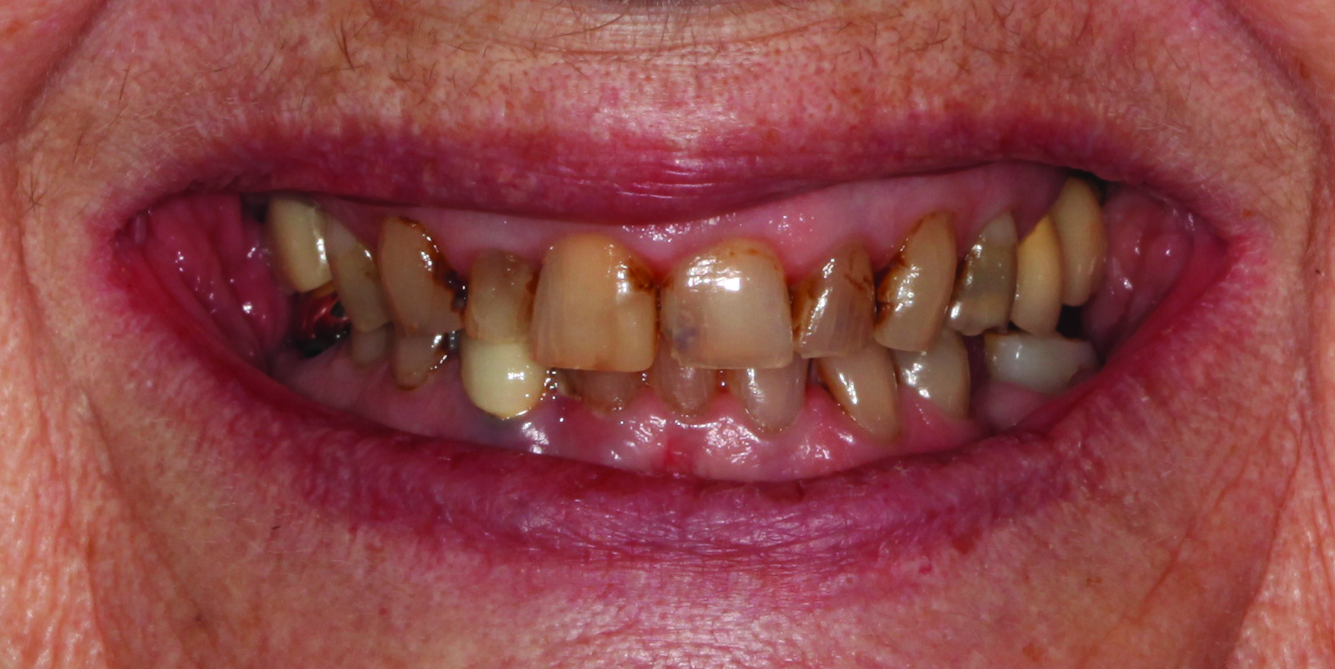
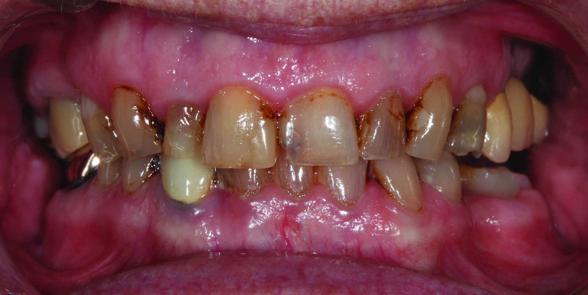
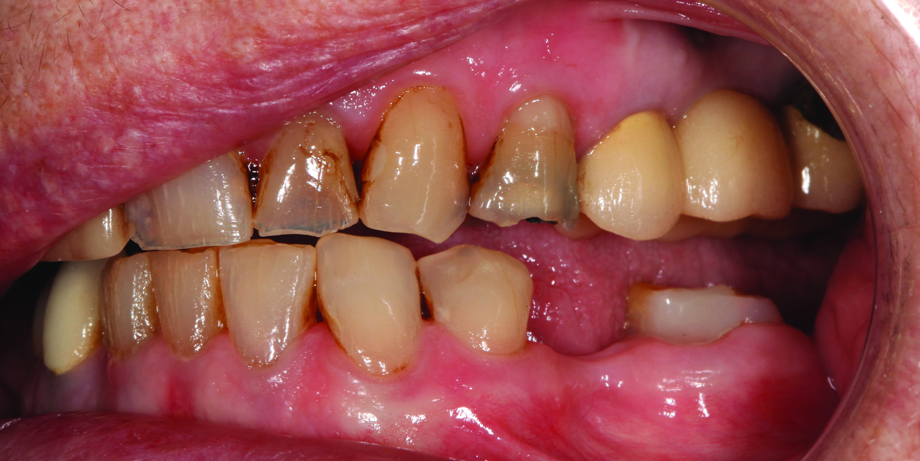
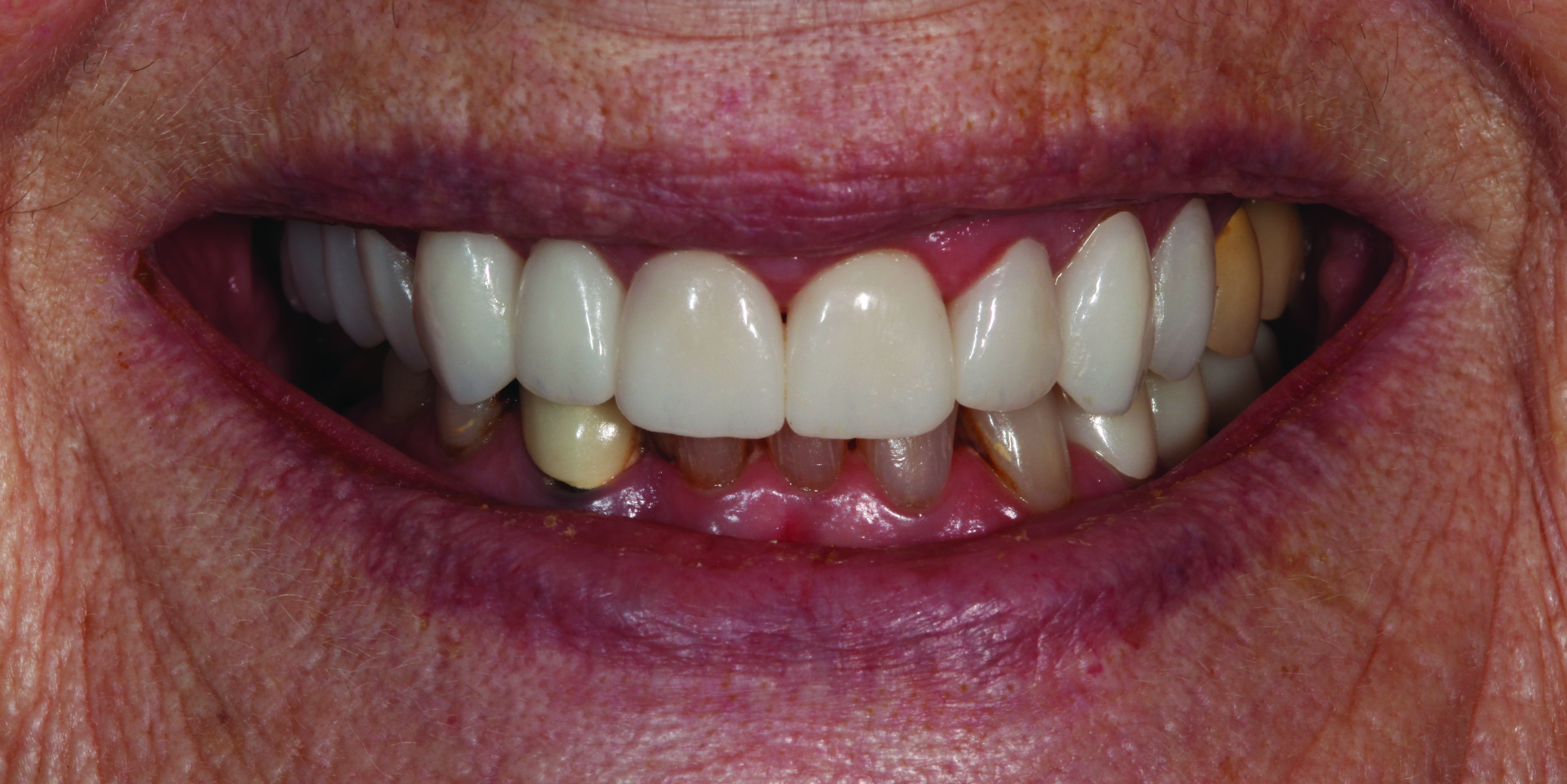
This patient first came to us with a dental emergency. After years of pain and discomfort, addressing dental emergencies as they came came, she decided she could no longer put off her oral health. Dr. Kakaris Porter helped her come up with a comprehensive plan to restore function and health to her upper teeth. In our patient’s own words, the beautiful end result is just an added bonus to knowing her smile is healthy!

<>

<>
Before




after




discover more smile transformations
book your smile makeover consultation at kakaris family dentistry
Take the first step toward your dream smile.
Call or text us at 734-676-1656 to schedule your consultation.
Experience modern, industry-leading,
Quality Dental care
right here in Woodhaven, Michigan.
Whether you need routine dental care or are looking to transform your smile, our team of skilled providers are dedicated to helping you achieve the healthy smile of your dreams.